





Giới thiệu tổng quan về
Bệnh viện Răng Hàm Mặt Nghệ An
Bệnh viện Răng Hàm Mặt Nghệ An là cơ sở y tế chuyên sâu trong lĩnh vực răng hàm mặt, được đầu tư hiện đại và bài bản. Chúng tôi đã, đang và sẽ mang đến những dịch vụ chăm sóc sức khỏe răng miệng chất lượng, uy tín, đáng tin cậy cho người dân tỉnh Nghệ An cùng các khu vực lân cận.
Tầm nhìn
Trở thành trung tâm chăm sóc sức khỏe răng miệng hàng đầu tại miền Trung Việt Nam, nổi bật với sự đổi mới trong công nghệ và sự tận tâm trong dịch vụ, góp phần nâng cao chất lượng cuộc sống cho cộng đồng.
Sứ mệnh
Chúng tôi cam kết cung cấp dịch vụ chăm sóc răng miệng toàn diện với đội ngũ bác sĩ chuyên nghiệp, công nghệ tiên tiến và phương pháp điều trị tối ưu, nhằm đáp ứng nhu cầu sức khỏe của từng bệnh nhân với sự chăm sóc tận tình và chất lượng nhất.
Giá trị cốt lõi
CHẤT LƯỢNG VÀ ĐỔI MỚI - TẬN TÂM VÀ CHUYÊN NGHIỆP - TIN CẬY VÀ AN TOÀN
Hệ thống Cơ sở vật chất hiện đại
Bệnh viện Răng Hàm Mặt Nghệ An luôn chú trọng đầu tư cơ sở vật chất khang trang, hiện đại. Hệ thống phòng khám chuyên biệt bao gồm: phòng cấp cứu, phòng xét nghiệm, phòng phẫu thuật, phòng điều trị nội trú,… được trang bị đầy đủ thiết bị y tế tiên tiến. Không gian chờ và khu vực làm thủ tục rộng rãi, thoáng mát, tạo cảm giác thoải mái cho bệnh nhân. Đặc biệt, môi trường y tế tại bệnh viện luôn đảm bảo các tiêu chuẩn vô trùng và vệ sinh an toàn, đáp ứng mọi quy định của Bộ Y Tế.
Đội ngũ BÁC SĨ chuyên gia
Đội ngũ bác sĩ giàu tâm đức, luôn chính trực, tận tâm với nghề và hết lòng vì khách hàng.
Đội ngũ chuyên môn tại Bệnh Viện Răng Hàm Mặt Nghệ An luôn đề cao việc tuân thủ quy trình hội chẩn chuyên sâu và chú trọng lắng nghe nhu cầu của từng khách hàng.
- Bác sĩ CKII Chuyên ngành Phẫu thuật Hàm Mặt
- Bác sĩ Cao cấp ngạch nhà nước
- Nguyên Giám đốc - Trưởng khoa Implant Bệnh viện Răng Hàm Mặt TP.HCM
- Nguyên Phó Viện Trưởng Viện Răng Hàm Mặt Việt Nam
- Nguyên Trưởng bộ môn Răng Hàm Mặt - Đại học Trà Vinh
- Ủy viên BCH Hội Răng Hàm Mặt Việt Nam
- Nguyên Chủ tịch Hội Răng Hàm Mặt TP. HCM
- Nguyên Phó Chủ tịch Hội Implant TP.HCM
- Hội viên Hội Hàn Lâm Nha khoa Quốc tế (ADI)
- Hội viên Hội các Trường Nha khoa Quốc tế (ICD)
- Tham dự nhiều khóa huấn luyện về Implant trong và ngoài nước (Mỹ, Đức, Thụy Sĩ...)
- Tốt nghiệp Bác sĩ CKI - Học Viện Quân Y
- Chứng chỉ "Cấy ghép Implant nha khoa"
- Hơn 10 năm kinh nghiệm làm việc tại các nha khoa quốc tế
- Tốt nghiệp Bác sĩ CKI - Đại học Y Dược Tp.Hồ Chí Minh
- Chứng chỉ "Cấy ghép nha khoa"
- Chứng chỉ "Phẫu thuật tạo hình thẩm mỹ căn bản"
- Chứng chỉ "Tiêm Botulinum Toxin trong thẩm mỹ"
- Chứng chỉ "Nghiệp vụ sư phạm"
- Và nhiều chứng nhận đào tạo liên tục khác
- Tốt nghiệp Bác sĩ Đại học Y Dược - Đại học Huế
- Chứng chỉ "Cấy ghép nha khoa"
- Hơn 5 năm làm việc tại các nha khoa quốc tế, đã thực hiện phục vụ nhiều bệnh nhân trong nước và quốc tế
- Tốt nghiệp Bác sĩ Đại học Y Dược Tp.Hồ Chí Minh
- Chứng chỉ "Chỉnh hình Răng mặt"
- Chứng chỉ "Chỉnh nha Invisalign"
- Chứng chỉ "Chỉnh nha Bioprogressive-meaw"
- Chứng chỉ "Chỉnh nha Meaw-Geaw nâng cao"
- Chứng chỉ "Chỉnh nha tăng trưởng"
- Kinh nghiệm điều trị hơn 600 ca chỉnh nha, là một trong những bác sĩ uy tín về chỉnh nha trong ngành và có tiếng tại Nghệ An
- Hơn 12 năm kinh nghiệm, nhận được sự tín nhiệm của khách hàng khi thực hiện các dịch vụ niềng răng
- Tốt nghiệp Bác sĩ Đại học Y Dược Hải Phòng
- Chứng chỉ "Chỉnh hình Răng mặt"
- Chứng chỉ "Cấy ghép Implant cơ bản"
- Chứng chỉ "Nâng xoang - ghép xương nâng cao"
- Liên tục tham gia các khóa học đào tạo nha khoa chuyên sâu trong và ngoài nước
- Tốt nghiệp Bác sĩ Đại học Y Dược Thái Nguyên
- Chứng chỉ "Nghiệp vụ sư phạm"
- Chứng chỉ "Chỉnh nha Bio-Meaw-Geaw""
- Gần 10 năm kinh nghiệm trong ngành nha khoa
- Liên tục tham gia các khóa học đào tạo nha khoa chuyên sâu trong và ngoài nước
- Thạc sĩ Chuyên khoa Răng Hàm Mặt - Đại học Y Dược Huế
- Các chứng nhận tham gia đào tạo chuyên sâu về Phục hình thẩm mỹ
- Liên tục tham gia các khoa học đào tạo nha khoa chuyên sâu trong và ngoài nước
- Tốt nghiệp Bác sĩ Đại học Y Dược - Đại học Huế
- Chứng chỉ "Cấy ghép Implant cơ bản"
- Chứng nhận khóa học "Nghệ thuật phục hình xâm lấn tối thiểu hiện đại"
- Liên tục tham gia các khoa học đào tạo nha khoa chuyên sâu trong và ngoài nước
- Tốt nghiệp Bác sĩ Đại Học Y Dược - Đại học Huế
- Chứng chỉ "Chuẩn hoá và nâng cao phẫu thuật răng khôn lệch ngầm với tay khoan và máy Piezotome"
- Liên tục tham gia các khoa học đào tạo nha khoa chuyên sâu trong và ngoài nước
- Tốt nghiệp Bác sĩ Đại Học Y Dược - Đại học Huế
- Chứng chỉ "Nội nha thực chiến"
- Liên tục tham gia các khoa học đào tạo nha khoa chuyên sâu trong và ngoài nước
Dịch vụ trọng điểm
Câu chuyện của khách hàng
Phản hồi từ phía khách sau khi điều trị tại Bệnh Viện Răng Hàm Mặt Nghệ An.
"Con bắt đầu niềng răng từ năm 13 tuổi, và giờ nụ cười của con đã tự tin hơn rất nhiều. Trước đây con hay ngại cười vì răng không đều, nhưng bây giờ con thoải mái cười nói với bạn bè. Ba mẹ con cũng rất hài lòng vì đã quyết định đầu tư xứng đáng cho con."
Trước điều trị
Sau điều trị
"Em thật sự ấn tượng với sự tận tình của các bác sĩ, lộ trình niềng răng được tư vấn rõ ràng, mà trang thiết bị ở đây cũng sạch sẽ với hiện đại nữa."
Trước điều trị
Sau điều trị
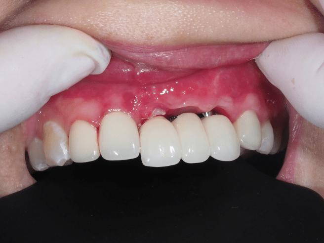
"Mình bị tai nạn gãy mất 3 cái răng cửa, lo lắng vô cùng vì trước giờ chưa từng tìm hiểu về trồng răng. Lúc làm xong rồi, nhìn răng mới mà không thể tin được – y như răng thật trước đây luôn! Công nghệ trồng răng bây giờ đúng là quá tuyệt vời."
Trồng răng Implant
Sau điều trị
"Chú bị mất răng cả hàm, ăn nhai khó khăn làm sức khỏe cũng yếu đi nhiều. Sau khi được các bác sĩ tư vấn tận tình, chú quyết định trồng Implant để phục hồi chức năng răng. Giờ chú yên tâm hơn hẳn vì quá trình thực hiện nhẹ nhàng mà hiệu quả thật."
Trước điều trị
Sau điều trị
"Bác năm nay 54 tuổi, mất nhiều răng nên trước đây cũng thử mấy cách làm răng giả, nhưng chỉ dùng được một thời gian, bất tiện lắm. Sau cùng, bác quyết định chọn trồng Implant để răng chắc chắn và ổn định lâu dài."
Ảnh chụp X-quang








