Dán sứ Veneer được ví như một cách thay áo mới cho răng, giúp bạn tự tin với nụ cười trắng sáng, đảm bảo chức năng ăn nhai và hạn chế xâm lấn mô răng thật. Xoay quanh vấn đề làm răng sứ Veneer còn có một số thắc mắc như quy trình thực hiện thế nào, chi phí có đắt không và đâu là địa chỉ dán răng Veneer tốt nhất? Hãy cùng Bệnh viện Răng Hàm Mặt Nghệ An tìm hiểu ngay dưới đây.
Mặt dán sứ Veneer là gì? Có gì khác với bọc răng sứ?
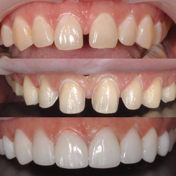
Veneer Sứ Là Gì?
Veneer sứ là kỹ thuật phục hình thẩm mỹ hiện đại, giúp khắc phục các khuyết điểm trên răng như nhiễm màu tetra, răng thưa nhẹ, mẻ… Bác sĩ sẽ mài một lớp mỏng trên răng (khoảng 0.3 – 0.5mm), sau đó dán miếng sứ Veneer lên bề mặt răng để che đi khiếm khuyết.
Dán Sứ Veneer Có Gì Khác Biệt?
Bọc răng sứ thường đụng đến tủy răng và yêu cầu mài nhiều mô răng thật. Nếu phần mài ảnh hưởng đến tủy, bác sĩ phải thực hiện rút tủy. Trong khi đó, dán sứ Veneer ít xâm lấn hơn, bảo tồn mô răng thật và vẫn đảm bảo tính thẩm mỹ cao.
Trường hợp nào nên dán răng sứ Veneer?
Mặt dán sứ Veneer thường được áp dụng trong các trường hợp sau:
- Răng bị đổi màu, kém thẩm mỹ như vàng sạm, xỉn màu, nhiễm tetracycline, nhiễm florua và không thể khắc phục bằng tẩy trắng.
- Răng cửa thưa, răng cửa hình cánh bướm, hoặc kích thước răng không đồng đều.
- Răng bị nứt, mẻ do chấn thương mà chưa ảnh hưởng đến tủy răng, hoặc răng vỡ cạnh chưa quá ⅓ thân răng.
Dán Sứ Veneer Có Tốt Không? Vì Sao Ngày Càng Phổ Biến?
Dán sứ Veneer là giải pháp thẩm mỹ hiệu quả, an toàn, giúp cải thiện nụ cười mà không cần mài nhiều mô răng thật. Phương pháp này có nhiều ưu điểm như:
Bảo tồn mô răng thật
So với các phương pháp khác như bọc răng sứ, dán sứ Veneer ít xâm lấn hơn, chỉ mài một lớp mỏng trên bề mặt răng (khoảng 0.3 – 0.5mm), giúp bảo vệ răng thật và duy trì cấu trúc của nó.
Tính thẩm mỹ vượt trội
Veneer có màu sắc tự nhiên, dễ dàng hòa hợp với răng thật, giúp bạn sở hữu nụ cười trắng sáng, đều đặn mà không bị lộ các vết trám. Ngoài ra, veneer sứ cũng bền vững, không bị ố màu theo thời gian.
Ít tác dụng phụ
Dán sứ Veneer ít gây kích ứng và không làm tổn thương đến tủy răng, do đó giảm thiểu các nguy cơ gặp phải vấn đề như viêm tủy hay nhạy cảm răng, điều này giúp bệnh nhân cảm thấy yên tâm hơn khi điều trị.
Phù hợp với nhiều vấn đề răng miệng
Dán sứ Veneer có thể khắc phục nhiều vấn đề thẩm mỹ như răng bị ố vàng, nhiễm màu tetracycline, răng thưa, răng mẻ hoặc khấp khểnh nhẹ, giúp mang lại kết quả đẹp mắt mà không cần đến các thủ thuật xâm lấn như rút tủy hay mài răng quá mức.
QUY TRÌNH DÁN SỨ VENEER
Dán sứ Veneer là một quy trình đơn giản nhưng đòi hỏi sự tỉ mỉ và chính xác từ bác sĩ để đảm bảo kết quả thẩm mỹ cao nhất. Quy trình dán sứ Veneer tại Bệnh viện Răng Hàm Mặt Nghệ An được thực hiện qua các bước sau:

Bước 1
Khám tổng quát tình trạng răng miệng

Bước 2
Lên kế hoạch điều trị

Bước 3
Mài răng và gắn răng tạm

Bước 4
Dán răng sứ Veneer

Bước 5
Kiểm tra và chỉnh khớp
Bước 1: Khám tổng quát tình trạng răng miệng
Ở bước này, Bác sĩ sẽ đánh giá tình trạng răng hiện tại của bạn như màu sắc, dáng răng để có kế hoạch điều trị phù hợp. Qua chụp phim, Bác sĩ cũng biết được răng có từng điều trị tủy chưa. Nếu rồi thì sẽ không dán sứ Veneer được mà phải bọc răng sứ.
Bước 2: Lên kế hoạch điều trị và trao đổi với Bác sĩ
Từ các dữ liệu thu thập được sau khi thăm khám và lấy dấu răng, bác sĩ sẽ tiến hành phác thảo kế hoạch điều trị chi tiết. Đồng thời, bác sĩ sẽ trao đổi trực tiếp với khách hàng để lựa chọn màu sắc răng và thiết kế dáng răng phù hợp. Quá trình này giúp đảm bảo miếng sứ Veneer không chỉ khắc phục khuyết điểm mà còn hài hòa với khuôn mặt, mang lại nét đẹp tự nhiên và nụ cười hoàn hảo.
Bước 3: Tiến hành mài răng và gắn răng tạm
Sau khi khách hàng đồng ý với kế hoạch điều trị được bác sĩ tư vấn, bác sĩ sẽ bắt đầu mài một lớp mỏng trên bề mặt các răng cần điều trị. Đây là bước chuẩn bị để tạo không gian cho miếng sứ Veneer vừa khít và chắc chắn. Đồng thời, bác sĩ sẽ gắn răng tạm để khách hàng sử dụng trong thời gian chờ chế tác răng Veneer hoàn thiện. Răng tạm này đảm bảo tính thẩm mỹ và chức năng ăn nhai, giúp khách hàng tự tin trong suốt quá trình điều trị.
Bước 4: Dán răng sứ Veneer
Khi những chiếc răng Veneer đã được chế tác hoàn tất, Bác sĩ sẽ sử dụng một loại gel đặc biệt để dán dính lên răng, mang đến cho bạn nụ cười mới rạng rỡ.
Bước 5: Kiểm tra và chỉnh khớp
Trong 1 – 3 ngày sau khi gắn răng, bạn sẽ quay lại phòng khám để Bác sĩ kiểm tra và chỉnh lại khớp cắn nếu cần. Đây là bước rất quan trọng giúp bạn không bị cảm giác cộm khi cắn, giao tiếp và đặc biệt tránh được tình trạng vỡ sứ, kéo dài thời gian sử dụng.
LƯU Ý GIÚP DÁN SỨ VENEER THÀNH CÔNG
Để dán sứ Veneer đạt hiệu quả tối ưu, đảm bảo tuổi thọ mặt sứ và sức khỏe răng miệng, bạn cần lưu ý:
Trước khi điều trị
- Chọn cơ sở nha khoa đáng tin cậy với đội ngũ bác sĩ giàu kinh nghiệm và giỏi chuyên môn. Điều này giúp đảm bảo quá trình thăm khám kỹ lưỡng, tư vấn phác đồ điều trị phù hợp và thực hiện dán sứ chính xác.
- Để răng sứ khỏe đẹp lâu dài, cần kiểm tra và điều trị triệt để các bệnh lý răng miệng như sâu răng, viêm nướu hoặc cao răng trước khi dán sứ. Đây là bước quan trọng giúp tăng hiệu quả và tuổi thọ của mặt dán sứ.
- Việc vệ sinh răng miệng trước khi dán sứ giúp bề mặt răng sạch, tăng độ bám dính cho mặt dán Veneer và đảm bảo kết quả thẩm mỹ tối ưu.
Sau khi điều trị
- Tránh thực phẩm và đồ uống màu sẫm: Hạn chế cà phê, trà đen, rượu vang đỏ để giữ màu răng sứ lâu dài.
- Không hút thuốc lá: Hút thuốc có thể làm biến đổi màu răng sứ và ảnh hưởng đến sức khỏe.
- Ăn thực phẩm mềm: Tránh ăn đồ dai cứng hoặc dùng răng để làm các công việc như mở nắp chai.
- Vệ sinh răng miệng sạch sẽ: Dùng bàn chải mềm 2 lần/ngày, kết hợp chỉ nha khoa và tăm nước.
- Tái khám định kỳ: Kiểm tra độ bám của răng sứ và khớp cắn theo lịch hẹn.
Câu Hỏi Thường Gặp Khi Dán Răng Sứ Veneer
Một số thắc mắc thường gặp khách hàng có thể tham khảo để hiểu rõ hơn về phương pháp làm răng sứ thẩm mỹ.
Dán răng sứ Veneer có đau không?
Quá trình dán Veneer được thực hiện dưới gây tê nên bạn sẽ không cảm thấy đau. Chỉ có thể hơi ê buốt nhẹ trong vài ngày đầu.
Chi phí dán răng sứ Veneer bao nhiêu?
Chi phí dán Veneer phụ thuộc vào nhiều yếu tố như: số lượng răng cần dán, loại sứ, địa chỉ nha khoa, v.v. Tốt nhất bạn nên đến trực tiếp các nha khoa để được tư vấn và báo giá chính xác
Chăm sóc răng sứ Veneer như thế nào?
- Vệ sinh răng miệng hàng ngày bằng bàn chải lông mềm và chỉ nha khoa.
- Tránh các thức ăn quá cứng, dính, có màu sậm.
- Đi khám răng định kỳ để kiểm tra và đánh giá tình trạng răng miệng.
Dán răng sứ Veneer có những ưu nhược điểm gì?
- Ưu điểm: Thẩm mỹ cao, bền màu, bảo tồn răng thật, không gây kích ứng nướu.
- Nhược điểm: Chi phí cao hơn so với các phương pháp khác, cần phải mài răng, không thể sửa chữa khi bị vỡ.
Dán răng sứ Veneer có ảnh hưởng đến sức khỏe răng miệng không?
Nếu được thực hiện bởi bác sĩ có chuyên môn cao và tuân thủ đúng quy trình, dán Veneer sẽ không ảnh hưởng đến sức khỏe răng miệng. Tuy nhiên, bạn vẫn cần phải chăm sóc răng miệng đúng cách để đảm bảo hiệu quả lâu dài.
Dán răng sứ Veneer có thể sử dụng được bao lâu?
Với chế độ chăm sóc tốt, Veneer có thể sử dụng được từ 10-15 năm hoặc lâu hơn.
Đội ngũ chuyên gia
Thầy thuốc Ưu tú - Huỳnh Đại Hải
- Bác sĩ CKII Răng Hàm Mặt - Giám đốc Chuyên môn
- Bác sĩ CKII Chuyên ngành Phẫu thuật Hàm Mặt
- Bác sĩ Cao cấp ngạch nhà nước
- Nguyên Giám đốc - Trưởng khoa Implant Bệnh viện Răng Hàm Mặt TP.HCM
- Nguyên Phó Viện trưởng Viện Răng Hàm Mặt Việt Nam
- Nguyên Trưởng Bộ môn Răng Hàm Mặt - Đại học Trà Vinh
- Ủy viên BCH Hội Răng Hàm Mặt Việt Nam
- Nguyên Chủ tịch Hội Răng Hàm Mặt TP.HCM
- Hội viên Hội Hàn Lâm Nha khoa Quốc tế (ADI)
- Hội viên Hội các Trường Nha khoa Quốc tế (ICD)
- Tham dự nhiều khóa huấn luyện về Implant trong và ngoài nước (Mỹ - Đức - Thụy Sĩ...)

Bác sĩ CKI
Trần Thanh Hùng
Trưởng khoa Implant

Bác sĩ CKI
Phan Văn Đạt
Trưởng khoa Phẫu thuật Hàm Mặt & Tạo hình thẩm mỹ

Bác sĩ
Bùi Ngọc Tú
Trưởng khoa Phục hình thẩm mỹ - Trưởng phòng Kế hoạch tổng hợp

Bác sĩ
Bùi Thị Minh Nguyệt
Trưởng khoa Chỉnh nha

Bác sĩ
Nguyễn Đức Quang Anh
Trưởng khoa Răng Hàm Mặt tổng quát

Bác sĩ
Văn Thị Thu Thủy
Trưởng khoa Răng trẻ em

Thạc sĩ
Ngô Thị Thúy
Bác sĩ khoa Phục hình Thẩm mỹ

Bác sĩ
Đặng Khắc An
Bác sĩ khoa Răng Hàm Mặt tổng quát

Bác sĩ
Phan Đức Hùng
Bác sĩ khoa khoa Phẫu thuật Hàm Mặt & Tạo hình thẩm mỹ

Bác sĩ
Ngô Hải Yến
Bác sĩ khoa Chỉnh nha
Bệnh viện răng hàm mặt nghệ an cam kết
QUY TRÌNH CHUẨN BỆNH VIỆN
Tại Bệnh viện Răng Hàm Mặt Nghệ An, mọi bước thực hiện đều được tuân thủ nghiêm ngặt theo tiêu chuẩn y tế, đảm bảo hiệu quả điều trị và an toàn tối đa cho khách hàng.
ĐỘI NGŨ BÁC SĨ CHUYÊN NGHIỆP
Đội ngũ bác sĩ bệnh viện có nhiều năm kinh nghiệm, trình độ chuyên môn vượt trội và không ngừng cập nhật kiến thức mới, mang đến cho bạn dịch vụ chăm sóc răng miệng tốt nhất.
TRANG THIẾT BỊ HIỆN ĐẠI
Bệnh viện sử dụng những trang thiết bị hiện đại áp dụng các công nghệ tiên tiến hàng đầu, đảm bảo quá trình khám chữ bệnh diễn ra an toàn và hiệu quả.
DỊCH VỤ CHUYÊN NGHIỆP, CHĂM SÓC TẬN TÌNH
Chúng tôi mang đến dịch vụ răng hàm mặt chuyên nghiệp, từ điều trị cơ bản đến các kỹ thuật chuyên sâu, cùng với dịch vụ chăm sóc khách hàng tận tình, chu đáo.
Bài viết liên quan

BỆNH VIỆN RĂNG HÀM MẶT NGHỆ AN TỔ CHỨC LỄ KỶ NIỆM 1 NĂM THÀNH LẬP
Để đánh dấu cột mốc quan trọng trên hành trình xây dựng và phát triển của một địa chỉ y tế uy tín hàng
Danh sách người thực hành khám bệnh, chữa bệnh tại Bệnh viện Răng Hàm Mặt Nghệ An #2
Xét hồ sơ đề nghị của Bệnh viện Răng Hàm Mặt Nghệ An tại bản công bố số 25/BVRHMNA ngày 30 tháng 5 năm
Danh sách người thực hành khám bệnh, chữa bệnh tại Bệnh viện Răng Hàm Mặt Nghệ An
Xét hồ sơ đề nghị của Bệnh viện Răng Hàm Mặt Nghệ An tại bản công bố số 25/BVRHMNA ngày 30 tháng 5 năm

Thông báo: Bệnh viện Răng Hàm Mặt Nghệ An là cơ sở khám bệnh, chữa bệnh đáp ứng đủ điều kiện là cơ sở thực hành
Xét hồ sơ đề nghị của Bệnh viện Răng Hàm Mặt Nghệ An tại bản công bố số 25/BVRHMNA ngày 30 tháng 5 năm

Lễ Ký Kết Hợp Tác Chiến Lược Giữa Straumann & Bệnh viện Răng Hàm Mặt Nghệ An
Lễ kí kết hợp tác chiến lược giữa Straumann & Bệnh viện Răng Hàm Mặt Nghệ An Ngày 17/07/2025, Nhằm nâng cao chất lượng

HƯỚNG DẪN DI CHUYỂN ĐẾN BỆNH VIỆN RĂNG HÀM MẶT NGHỆ AN
Chào mừng quý khách hàng, quý đối tác, quý bà con đến với Bệnh viện Răng Hàm Mặt Nghệ An – nơi gửi trọn